查看: 1718|回复: 23

[济宁资讯] 脊柱侧弯影响大吗?

[复制链接]
发表于 2025-10-21 10:06:55 来自手机 |未经授权,严禁转载,违者必究... | 显示全部楼层 |阅读模式
 
还能纠正过来吗?初中了是不是可以保守治疗?
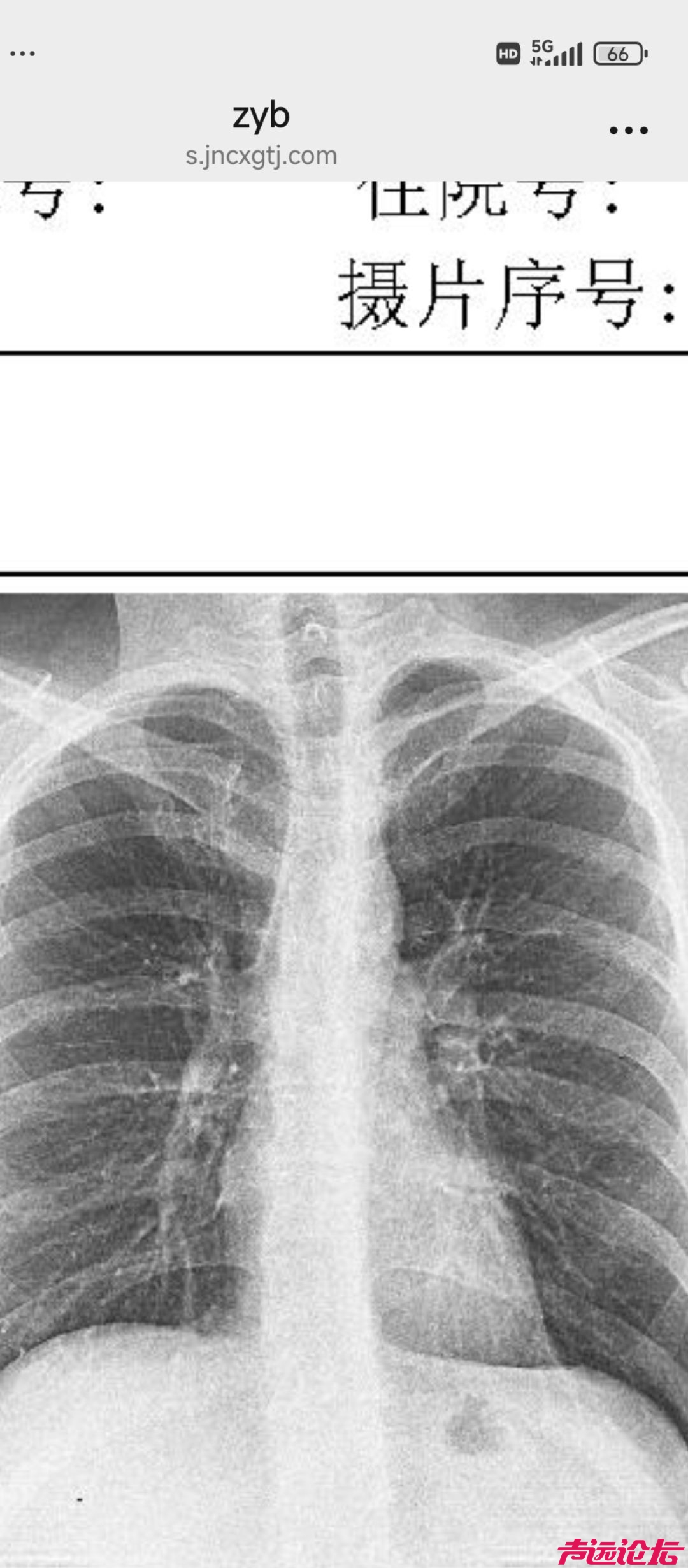
20251021100452front2_0_114191_Fn5U5IVrbDf9lcHD4vogbtwNO3k3.jpg
 
 
— 大济宁 APP 点赞记录
点赞给态度,登录/注册 就能点赞
我爱济宁太白楼 2025-10-21 18:49 威望 +2
济北愚人 2025-10-21 15:43 威望 +2
发表于 2025-10-21 11:23:21 来自手机 | 显示全部楼层
 
纠正姿势
每周做一次正骨
每天吊一会儿单杠

几个月了,我家孩子有效果了
因人而异 既然拍了片子 就去医院看看
 
 
本帖点赞记录
点赞给态度,登录/注册 就能点赞
dfth8341 威望 +2
南北汤家胡同12号 威望 +2
散淡的人 威望 +2
回复 支持 3 反对 0

使用道具 举报

发表于 2025-10-21 18:14:01 | 显示全部楼层

4、50岁以后有影响,腰椎、脊椎、颈椎病高发。主要是压迫神经,会头疼头晕腰背疼,后背的肌肉会过早出现退化、劳损状况。 年轻时症状不明显。
本帖点赞记录
点赞给态度,登录/注册 就能点赞
浮萍7901 威望 +2
南北汤家胡同12号 威望 +2
回复 支持 2 反对 0

使用道具 举报

 楼主| 发表于 2025-10-25 08:12:39 来自手机 | 显示全部楼层
 

不良坐姿
 
 
本帖点赞记录
点赞给态度,登录/注册 就能点赞
南北汤家胡同12号 威望 +2
回复 支持 1 反对 0

使用道具 举报

发表于 2025-10-22 16:04:19 | 显示全部楼层
头晕目眩 发表于 2025-10-21 19:49
还能纠正过来吗?手术那不厉害了

我就是这个毛病,30多岁才发现。一直也没纠正。侧弯很厉害的才需要手术矫正,绝大多数不用手术。有一种类似背背佳的装置,可以试一试。
本帖点赞记录
点赞给态度,登录/注册 就能点赞
南北汤家胡同12号 威望 +2
回复 支持 1 反对 0

使用道具 举报

发表于 2025-10-21 12:06:56 来自手机 | 显示全部楼层
Wo偠开伈! 发表于 2025-10-21 11:53
一锤夯过来

这么狠
本帖点赞记录
点赞给态度,登录/注册 就能点赞
Wo偠开伈! 威望 +2
回复 支持 1 反对 0

使用道具 举报

发表于 2025-10-21 10:10:20 来自手机 | 显示全部楼层
 
好大夫没空上论坛。
 
 
回复 支持 反对

使用道具 举报

发表于 2025-10-21 10:14:02 | 显示全部楼层

你这是有多看不起小大夫

我信小大夫
回复 支持 反对

使用道具 举报

发表于 2025-10-21 11:04:54 | 显示全部楼层
就是学习姿势不正确,当年我闺女也是这样,纠正错误姿势后应该就没事了!!
建议还是去大医院问问大夫吧!!别在这里问了!!别耽误了孩子
回复 支持 反对

使用道具 举报

发表于 2025-10-21 11:08:15 | 显示全部楼层
带着片子去第一人民医院或者附院,实在不行去济南
回复 支持 反对

使用道具 举报

发表于 2025-10-21 11:41:45 来自手机 | 显示全部楼层
提示: 作者被禁止或删除 内容自动屏蔽
回复 支持 反对

使用道具 举报

发表于 2025-10-21 11:45:33 来自手机 | 显示全部楼层
 
老熊同志 发表于 2025-10-21 10:14
你这是有多看不起小大夫

我信小大夫

此言论仅限西医,小大夫上论坛属于调理自身情绪,能更好为患者服务,哈哈
 
 
回复 支持 反对

使用道具 举报

发表于 2025-10-21 11:53:16 来自手机 | 显示全部楼层
 
一锤夯过来
 
 
回复 支持 反对

使用道具 举报

发表于 2025-10-21 13:54:53 来自手机 | 显示全部楼层
 
吊单杠,游泳,都可以有帮助,现在孩子,10个有7个脊柱侧弯的,都是学习学的
 
 
回复 支持 反对

使用道具 举报

发表于 2025-10-21 14:07:31 来自手机 | 显示全部楼层
所謂的老師製造教育焦慮
骨科醫生也製造?
回复 支持 反对

使用道具 举报

发表于 2025-10-21 15:26:28 来自手机 | 显示全部楼层
不很严重就吊单杠,每天吊会!
回复 支持 反对

使用道具 举报

发表于 2025-10-21 15:49:19 | 显示全部楼层
能看出来,拍照片时一个肩膀高一个肩膀低。
回复 支持 反对

使用道具 举报

 楼主| 发表于 2025-10-21 17:20:09 来自手机 | 显示全部楼层
 
时光旅行者 发表于 2025-10-21 15:49
能看出来,拍照片时一个肩膀高一个肩膀低。

影响吗
 
 
回复 支持 反对

使用道具 举报

 楼主| 发表于 2025-10-21 19:49:49 来自手机 | 显示全部楼层
 
时光旅行者 发表于 2025-10-21 18:14
4、50岁以后有影响,腰椎、脊椎、颈椎病高发。主要是压迫神经,会头疼头晕腰背疼,后背的肌肉会过早出现 ...

还能纠正过来吗?手术那不厉害了
 
 
回复 支持 反对

使用道具 举报

发表于 2025-10-22 16:48:44 来自手机 | 显示全部楼层
 
小学游了5年游泳,现在脊柱正常
 
 
回复 支持 反对

使用道具 举报

 楼主| 发表于 2025-10-22 18:57:44 来自手机 | 显示全部楼层
 
Yiyideyi 发表于 2025-10-22 16:48
小学游了5年游泳,现在脊柱正常

游泳是个好项目
 
 
回复 支持 反对

使用道具 举报

您需要登录后才可以回帖 登录 | 加入声远

本版积分规则

返回顶部快速回复上一主题下一主题返回列表

声远论坛|联系电话:0537-2311005|Archiver|手机版|小黑屋|Sitemap|声远网 |网站地图|网站地图

鲁公网安备 37089702000485号 | 鲁ICP备 18028751号 | 互联网药品信息服务资格证:(鲁)-经营性-2022-0209 | 增值电信业务经营许可证:鲁B2-20230761号 | (鲁)职介证字[223]:第08120014号

中国互联网违法和不良信息举报中心 | 山东省互联网违法和不良信息举报中心 | 人工智能生成合成内容标识办法

GMT+8, 2026-4-24 23:59, Processed in 0.101135 second(s), 33 queries , Gzip On, APCu On.

Powered by Discuz! X3.5© 2001-2026 SYUAN.COM

快速回复 返回顶部 返回列表